¿Qué son las imágenes por ultrasonido?

Medical ultrasound - WikipediaLa tecnología de ultrasonido utiliza ondas sonoras de alta frecuencia. Las ondas rebotan en el tejido y regresan a la máquina de ultrasonido a diferentes frecuencias, según la densidad del tejido.
Nuestra máquina de ultrasonido es una computadora altamente especializada que traduce las ondas de sonido que regresan en imágenes para verlas en el monitor de su computadora. Nuestra máquina es una máquina de ultrasonido aprobada por la FDA.

¿Son seguros los ultrasonidos 3D/4D y HDlive?

¡Sí! El ultrasonido ha sido una práctica de rutina en la atención prenatal en los EE. UU. durante décadas. Se ha estudiado durante más de 35 años y se ha demostrado que no causa daño ni a la madre ni al bebé. Su sesión de ultrasonido 3D/4D utilizal mismo tipo de ultrasonido que una exploración 2D regular realizada en el consultorio de su médico.

¿Cuál es la diferencia entre imágenes 2D, 3D y 4D?

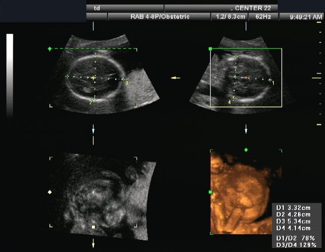
2D, 3D y 4D son terminología registrada que se utiliza en la industria para distinguir los diferentes tipos de imágenes y videos que se pueden proporcionar.

La ecografía 2D son las ecografías tradicionales en blanco y negro que probablemente hayas visto antes. Las imágenes muestran la estructura esquelética (esquema) del bebé. El género generalmente se encuentra fácilmente usando ultrasonido 2D. Si elige un ultrasonido de género 3D/4D, la parte de género se encontrará en 2D, luego comenzará la diversión 3D 4D por el resto de la sesión.

Las imágenes en 3D muestran el tejido del bebé, que se parece más a las imágenes reales. Podemos ver la redondez de la cara del bebé, la forma de la nariz y el contorno de los labios.El color en realidad no es el color del bebé, está mejorado por computadora para hacer que las imágenes sean más atractivas.

4D imagine muestral tejido del bebé mientras se mueve. ¡El ultrasonido 4D es cuando su bebé se mueve en tiempo real! Los videoclips en 4D de su bebé son similares a las imágenes en 3D, ¡pero en movimiento!

HDlive va un paso más allá al mejorar las imágenes de ultrasonido con una fuente de luz. El tono de piel del bebé será más claro y las sombras añadidas maximizan los detalles de su bebé.

¿Necesito una cita para una ecografía 3D/4D o HDlive?

Sí, las citas son necesarias, sin embargo, si llama temprano en el día, ¡existe la posibilidad de que podamos programarlo ese mismo día! Para las citas de fin de semana y por la noche, lo alentamos a programar con mucha anticipación. Haga clic aquí para programar.

¿Necesito tener la vejiga llena?

No, no siempre, pero cuanto más hidratado esté el cuerpo, más transparente será el líquido amniótico y más claras las imágenes. Estar bien hidratado puede mejorar en gran medida la claridad de las imágenes 3D/4D. Sin embargo, si tenía sobrepeso antes de quedar embarazada, tener la vejiga llena puede ayudarnos a obtener imágenes más claras. Por favor, pregúntenos si tiene alguna pregunta.

¿Cuándo es el mejor momento para programar mi ultrasonido 3D/4D?

Podemos realizar una ecografía en cualquier momento después de las 8 semanas durante su embarazo.
Si está buscando MEJILLAS GORDAS, los mejores resultados de imágenes 3D/4D generalmente se ven entre las 26 y 33 semanas. Muy avanzado el embarazo, el bebé puede amontonarse mucho y es difícil ver la cara, ¡aunque hemos obtenido excelentes imágenes de ultrasonido en 3D en bebés de hasta 39 semanas! Debe tener al menos 14 semanas para determinar el sexo.

¿Qué tan pronto podemos saber el sexo del bebé?

Hoy en día, la tecnología de ultrasonido permite averiguar el sexo del feto desde las 14 semanas, sin el juego de adivinanzas.Durante este tiempo, el diagnóstico del sexo fetal tiene una precisión del 95% al 100%. Sin embargo, dicho esto, todavía hay factores que prohibirán a cualquier ecografista determinar claramente el género.

Para determinar con precisión el sexo del bebé, un ecografista debe poder ver evidencia del pene y el escroto, en el caso de un niño, y los labios, en el caso de una niña. La ausencia del pene por sí sola no debe tomarse como evidencia suficiente de que el bebé es una niña. Si el bebé no coopera durante la sesión y no podemos confirmar el género, programaremos una exploración repetida de cortesía dentro de dos semanas.

¿La ubicación de mi placenta afectará la calidad de mis imágenes?

No necesariamente. Muchos clientes con placenta anterior (al frente) a menudo preguntan si será difícil ver a su bebé con una ecografía 3D/4D. Un gran porcentaje de els clientes tienen una placenta anterior, pero podemos escanear desde el costado y alrededor de la placenta para ver al bebé. En algunos casos, el bebé se enfrentará a la placenta, ya sea anterior, posterior (a lo largo de la parte posterior) o fúndica (a lo largo de la parte superior), en cuyo caso, trabajaremos para tratar de que el bebé se aleje de la placenta.. Algunas de las imágenes tendrán partes de la placenta en ellas; después de todo, estamos imaginando al bebé dentro del útero. Haremos todo lo posible para obtener la mayor parte posible de la cara, pero no siempre es posible una toma de cara completa.

De manera similar, los bebés a menudo se tapan la cara con las manos y los pies, oscureciendo parte de la cara. Muchas mamás nos escriben para decirnos que sus bebés hacen los mismos gestos que hacían dentro del útero, y eso hace que atesoren aún más las imágenes de ultrasonido.

¿Serán perfectas mis imágenes de ultrasonido 3D?

Bueno, la respuesta a esa pregunta es, con suerte, pero no siempre. Sin embargo, prometemos hacer todo lo posible para obtener las mejores imágenes. Cada bebé escanea de manera diferente, dependiendo de su edad gestacional, posición, cantidad de líquido y condición de la madre. Desafortunadamente, no podemos garantizar que las imágenes sean similares a las que podría haber visto en otros lugares o incluso en el propio estudio, o que siempre podamos cumplir con las expectativas de todos. Hemos aprendido que una gran imagen se determina de manera diferente de persona a persona. Si no podemos obtener imágenes claras debido a la condición de la madre, entonces no tenemos la obligación de volver a hacer el ultrasonido sin cargo. La realidad es que es simplemente la física lo que a veces hace que sea difícil ver claramente a un bebé en algunas mujeres.

¡La perfección es subjetiva! ¡Nos encantan las tomas de acción!

¿Qué puedo hacer para obtener imágenes y escaneos excelentes?

Usted puede ayudar manteniéndose hidratado. La claridad de la imagen depende de la cantidad de líquido amniótico alrededor de la cara del bebé. Al mantenerse hidratado, puede ayudar a mantener el líquido amniótico más claro. Beba al menos 64 onzas de agua al día durante la semana anterior a su cita.

Le pedimos que beba un poco de jugo de naranja, jugo de manzana o incluso cafeína de camino a la ecografía para que el bebé esté activo.

¿Qué tipo de equipo utiliza para los ultrasonidos?

Utilizamos equipos de última generación de GE para completar todos los exámenes de ultrasonido. Utilizamos una máquina de ultrasonido GE E8 Expert cargada con software actualizado. Nuestro equipo se ha visto en comerciales de televisión de GE y en muchos artículos impresos de todo el mundo.Esta máquina es la mejor máquina de ultrasonido 2D, 3D, 4D y ahora HDlive disponible.

Tenga en cuenta que muchas organizaciones afirman utilizar equipos «de última generación», cuando en realidad utilizan tecnología más antigua o inferior. Solo el equipo de GE genera imágenes en 3D con una claridad asombrosa y le brinda la misma claridad con imágenes en 4D de su bebé en movimiento. Nuestro equipo de sonograma le permite ver a su bebé en video en vivo, a diferencia de cualquier otro en el mercado hoy en día.

Deja un comentario

Diseña un sitio como este con WordPress.com
Comenzar